
Electrocautery & Radio Frequency :
For removal of skin tags, warts, freckle, milia, DPN etc.

Chemical Peeling
For acne, pigmentation, tanning, uneven skin tone , scars, under eye circle.

Scar Treatment
Subcision, lasers, TCA cross Micro needling, PRP

Fairness & Skin Rejuvenation
Chemical peels, Micro needling with meso solutions, skin lightening lasers

Laser Hair Reduction
For unwanted hair growth

Bridal Packages
Fairness peels, meso solutions

Anti-aging
Chemical peels, Skin Tightening.

Hair Loss Treatment
Prp Theropy

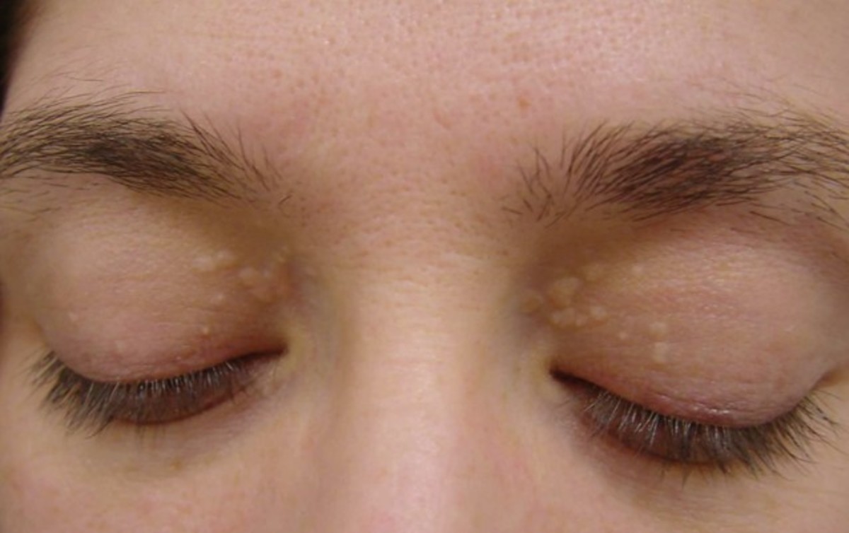
Xanthelasma
Tca Cautery, Radio Frequency

Ils Therapy
Alopecia Areata, Keloids

Skin Biopsy
Diagnostic
